Durr Ultra View PSP Scanner

In the form of VistaScan Ultra View, a high-end device is available that combines the superior image quality of PCS technology with excellent performance and innovative, groundbreaking features.

It has been developed particularly with the high demands of larger dental surgeries and clinics in mind.

Thanks to the new design of VistaScan Ultra View, which allows image plates to be scanned simultaneously in 2 slots, the scanner can be used more efficiently – but with no compromises in terms of quality. This saves valuable time.

The easy feed concept enables image plates to be fed into the unit and scanned straight away, one after the other – with no time wasted in between. The scan slots in the VistaScan

Ultra View system can be easily adjusted to all intraoral image plate formats with the aid of interchangeable plate guides

This is what counts:
▪Patented PCS technology for exceptional image quality
▪Scan simultaneously using 2 slots and save time
▪For all intraoral formats
▪High-resolution 7″ touchscreen display
▪Additional intelligent functions in combination
with VistaScan IQ image plates and VistaSoft

ScanManager – for even more efficient working
Scanning tasks can be sent simultaneously from different workstations to VistaScan Ultra View. Select the required task on the display, carry out the scan and perform a diagnosis on the PC screen straight away.

Scanning without a PC is possible
Thanks to the standalone mode, you can also work independently of the network. Images are stored temporarily in the internal memory of the device and then transmitted to the database later on.

All intraoral formats
VistaScan Ultra View can be used to scan all intraoral image plate formats – from size 0 to 4.
Large glass touchscreen display
The comfortable, colour 7″ touchscreen display provides a user interface that is very easy to use.

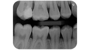
Exceptional image quality thanks to PCS
Thanks to PCS technology, VistaScan Ultra View is capable of reliably displaying even early stages of caries lesions and endodontic instruments.

WLAN capability
The integrated WLAN functionality and the LAN interface make it incredibly easy to integrate the scanner in a network.

VistaScan IQ image plates
The high-performance VistaScan Ultra View unit is a professional system designed to meet the highest demands in terms of image quality, ease of use and performance. To ensure that it makes the most of its potential, the system is designed to work only with VistaScan IQ image plates. Alongside the tried and tested technology and outstanding image quality, thanks to PCS technology this combination offers a wide range of new features that noticeably improve user friendliness, efficiency and reliability.

The easy route to digitalisation
Dürr Dental image plates make it easy for you to switch from X-ray film to a digital workflow. The process for taking X-rays and the image formats are exactly the same as for analogue film, so there‘s not really anything new to learn. The thin, flexible image plate is easy to position and feels pleasant in the mouth. Once an image has been taken, it appears on the monitor in just a few seconds. The durable image plate is then immediately ready to be used again.

VistaSoft AI included
With the VistaSoft package you will gain access to powerful AI features that will make your day-to-day work in the practice noticeably more effective. In combination with VistaScan IQ image plates, Vistasoft AI enables automatic checking of every X-ray image to detect deterioration in image quality over time – the software will recommend replacement of the image plate where necessary, so that consistently high image quality is ensured at all times.

The imaging software uses an algorithm based on artificial intelligence to check the orientation of intraoral X-ray images with the aid of anatomical features shown and corrects the rotation of the image automatically if needed.

The package comes with a full 2D and 3D X-ray licence for VistaSoft, which allows you to view 2D and 3D image data and perform diagnosis – with no need for a dedicated CBCT device in the case of 3D images.

Numerous interfaces are provided for effortless connection to software solutions from third-party providers to allow seamless integration in your existing practice management system.

Opening hours

Monday 8:30 am to 5:00 pm
Tuesday 8:30 am to 5:00 pm
Wednesday 8:30 am to 5:00 pm
Thursday 8:30 am to 5:00 pm
Friday 8:30 am to 5:00 pm

Book Appointment

Scroll to Top
0
YOUR CART
  • No products in the cart.